Composite Bonding
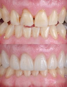
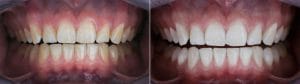
In this article we will discuss composite bonding which has become a very popular cosmetic treatment with patients seeking affordable cosmetic dentistry. At Pearl dental clinic, we have transformed thousands of smiles using composite bonding since 2007. You can see examples of our composite bonding work in our composite bonding before & after gallery.
What Is Tooth Bonding?
Tooth bonding, also known as composite bonding, is a cosmetic dental treatment that uses a putty-like resin material to repair chips, gaps, and other minor damage to teeth. It can also be used to change the shape or colour of a tooth. The bonding material is matched to the natural enamel colour of the teeth and is applied to the tooth’s surface before being hardened using an ultraviolet light.
6 Dental Problems Dental Bonding Can Solve
Dental bonding can be used to solve a variety of dental problems, including:
- Chipped Teeth – Bonding can be used to repair a chipped tooth, restoring its shape and function.
- Gaps – If there is a gap between your teeth, bonding can be used to fill it in.
- Misaligned Teeth – Bonding can be used to reshape teeth and make them appear straighter.
- Discoloured Teeth – Bonding can be used to cover teeth that are discoloured or stained.
- Short Teeth – If your teeth are too short, bonding can be used to lengthen them.
- Cavities – Bonding can be used to fill cavities in teeth.
Who Does Teeth Bonding Work Best For?
Teeth bonding is an effective solution for people who have minor to moderate damage or imperfections in their teeth. It is best suited for people who want to improve the appearance of their teeth but do not need more extensive dental work, such as porcelain veneers or crowns.
What’s the difference between composite bonding and porcelain veneers?
The main difference between composite bonding and porcelain veneers is the material used. Composite bonding uses a tooth-coloured resin material, while porcelain veneers are made from a thin shell of porcelain. Porcelain veneers are more durable and longer-lasting than composite bonding but are also more expensive.
Can You Have Composite Bonding with Gum Disease?
Before undergoing any dental procedure, including composite bonding, it’s important to make sure your oral health is in good condition. Gum disease is a common oral health problem that can affect the success of composite bonding. The presence of gum disease can cause the gums to recede, which can expose the root of the tooth and make it difficult to bond the composite resin material to the tooth surface. Therefore, if you have gum disease, it’s important to treat it before undergoing composite bonding.
What Happens Before Teeth Bonding?
Before undergoing teeth bonding, we will conduct a thorough examination of your teeth and gums to ensure that you are a good candidate for the procedure. We may also take X-rays to assess the overall health of your teeth and determine the best course of treatment. We may also provide you with a trial smile, so that you can preview the possible outcomes before you commit to any treatment.
What Happens During Dental Bonding Procedure?
Here’s what you can expect during the dental bonding process:
- Conditioning liquid is applied to the surface of the tooth to prepare it for the bonding material.
- A putty-like resin material is applied to the tooth and shaped to match the natural tooth structure.
- An ultraviolet light or UV light is used to harden the bonding material.
- The bonded tooth is polished to match the surrounding natural teeth.
How Long Does the Composite Bonding Procedure Take?
The composite bonding procedure usually takes about 30 to 60 minutes per tooth. However, the exact amount of time needed depends on the extent of the work being done.
Do Teeth Need Special Care After Dental Bonding?
After undergoing dental bonding, it’s important to take good care of your bonded teeth to ensure that they last as long as possible. This includes brushing and flossing regularly, avoiding hard foods that can damage the bonding material, and visiting the dentist and hygienist regularly. You may have to wear a nightguard when sleeping if you clench or grind your teeth at night.
How Can Composite Bonding Work with Teeth Whitening?
Teeth whitening is a great option for those who want to improve the appearance of their teeth without undergoing more invasive treatments. However, if you’re considering teeth whitening, it’s important to do so before getting composite bonding.
Should I Get a Teeth Whitening Before or After Dental Bonding Procedure?
If you’re planning on getting both teeth whitening and composite bonding, it’s important to whiten your teeth before undergoing the bonding procedure. This is because the bonding material is not affected by teeth whitening treatments, so if you whiten your teeth after bonding, the bonded teeth may appear darker than the surrounding natural teeth.
Disadvantages of Teeth Bonding
While dental bonding is an effective and affordable cosmetic dental treatment, it does have some limitations and drawbacks. Some of the disadvantages of teeth bonding include:
- Staining: Composite resin can stain over time, especially if you consume dark-colored foods or drinks, such as coffee, tea, and red wine.
- Durability: Bonding material is not as strong as natural tooth enamel, so it may chip or crack over time, especially if you bite hard foods or objects.
- Lifespan: Dental bonding usually lasts between 3-5 years, after which it may need to be replaced or repaired.
- Inability to whiten: Unlike natural teeth, composite resin cannot be whitened with teeth whitening treatments.
- Limited application: Dental bonding is best suited for minor to moderate cosmetic improvements, such as repairing chips or filling gaps between teeth. For more extensive smile makeovers, other cosmetic dental treatments may be more appropriate, such as porcelain veneers or dental crowns.
How Long Does Dental Bonding Last?
The lifespan of dental bonding depends on several factors, including the amount of bonding material used, and your oral habits. On average, dental bonding can last between 3-5 years, after which it may need to be replaced or repaired. To maximize the lifespan of your bonded teeth, it is important to practice good oral hygiene habits, such as brushing and flossing daily, avoiding hard foods or objects, and attending regular dental cleanings and checkups and wearing your night guard.
How much does composite bonding cost?
The cost of composite bonding varies depending on the extent of the work being done. In general, composite bonding is less expensive than porcelain veneers or crowns. At Pearl dental clinic, composite bonding costs between £195 and £295 per tooth. You can spread the cost of your composite bonding treatment interest free with our 0% dental finance plans.
Cosmetic Dentistry
Dental bonding is a popular cosmetic dental treatment that can improve the appearance of your teeth and smile. By using composite resin material, we can repair chipped or misaligned teeth, fill gaps, and even change the shape and size of your teeth to give you the perfect smile. In addition to dental bonding, at Pearl dental clinic we provide many other cosmetic dental treatments, such as porcelain veneers, teeth whitening, Invisalign and dental implants, that can help you achieve your desired smile. We can work with you to determine the best cosmetic dental treatments to meet your specific needs and goals.
How Can I get Composite Bonding
Please call our reception team on 0208 547 9997 to arrange a consultation with our cosmetic dentists or book a dental appointment online.
