Dental Trauma

Identifying your dental trauma

At Pearl Dental Clinic, we have an advanced CBCT 3D x-ray system on-site which helps us accurately identify the exact type of dental trauma that has occurred. With 2D dental X-rays, it is not usually possible to pinpoint the exact type of dental trauma due to limitations with the imaging. Our state-of-the-art equipment and techniques ensures correct diagnosis and management, which makes a great deal of difference to the outcome for traumatised teeth.

Let us help you with your pain
Dental Trauma

Types of dental trauma

Extruded teeth

If a tooth is pushed inwards (intrusion) or outwards (extrusion) or is out of place, you should apply gentle finger pressure to reposition the tooth back to its normal position. Try to avoid forcing the tooth into its socket. Use a clean moist tissue or a damp gauze to hold the tooth in its place.

Knocked out teeth

If a tooth has been knocked out of its socket, you should first recover it and remove any dirt or debris by washing it carefully. You should avoid touching the root surface and try to hold the tooth by its crown as you may damage the fibres on the root surface by touching the root.

If possible, try to put the tooth back in its socket since it is possible to re-implant the tooth within 60 minutes of it coming out. Alternatively, store the tooth inside a glass of milk and immediately call our dental practice.

The longer a tooth lies outside its socket, the lower the chances of a successful reattachment with the socket, so speed is of the essence in such a dental emergency.

Fractured teeth

The treatment of a fractured tooth depends on the degree of damage to the tooth. Whatever the degree of damage might be, you should see a dentist as soon as possible to get the appropriate treatment. Do not worry, because a fractured tooth can in most cases be repaired. If the tooth feels painful, try to avoid biting in that area or eating hot or cold foods in the meantime.

Minor tooth fracture

For a minor tooth fracture, our dentists can smooth the fractured part of the tooth and minimise the injury. We can also do a small white filling to restore the tooth. You must take care of your tooth and try to avoid any further trauma.

Moderate tooth fracture

You may have a moderate tooth fracture if there is damage to your tooth enamel or dentine, or both. You may need a white filling or a veneer/crown to restore the tooth back to its previous shape.

Severe tooth fracture

A severe tooth fracture could mean that the tooth may be unrestorable. The tooth will have to be assessed immediately and, if it can be saved, it may need a crown. If the tooth is unrestorable, it may need to be extracted and replaced with a bridge, denture or an implant.

Soft tissue trauma

In the event of a soft tissue injury, you need to have the wound cleaned, sutured and repaired. If there is bleeding due to a tongue laceration, then try to pull your tongue forward and use gauze to put some pressure on it.

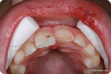
Dental trauma case study

Below you can see photos of a patient who had suffered dental trauma, treated here at Pearl dental clinic.

  • Dental trauma case study image 1

    This teenager was involved in an accident which resulted in fracture of her front incisor tooth and trauma to her lips.

  • Dental trauma case study image 2

    The patient had been to A&E and been told to find an emergency dentist.

  • Dental trauma case study image 3

    We first cleaned her lips and her teeth.

  • Dental trauma case study image 4

    We then built up her incisor with composite bonding.

  • Dental trauma case study image 5

    She was happy with the end result.

  • Dental trauma case study image 6

    A week later, things looked a lot better already.

Book an emergency appointment

Pearl Dental Clinic is open 7 days a week from 9am to 10pm. You can book an emergency appointment by calling us on 020 8547 9997, by emailing us or by booking an appointment online (available 24 hours/day).
Call usBook online

Call us today on 020 8547 9997

Whatever you need, our friendly team is looking forward to hearing from you.

Simply get in touch and we’ll be happy to help.


Find us on Google maps

Get directions

Send our team an email

On submitting the form you consent to Pearl Dental Clinic collecting your personal data. For more information please read our privacy policy.