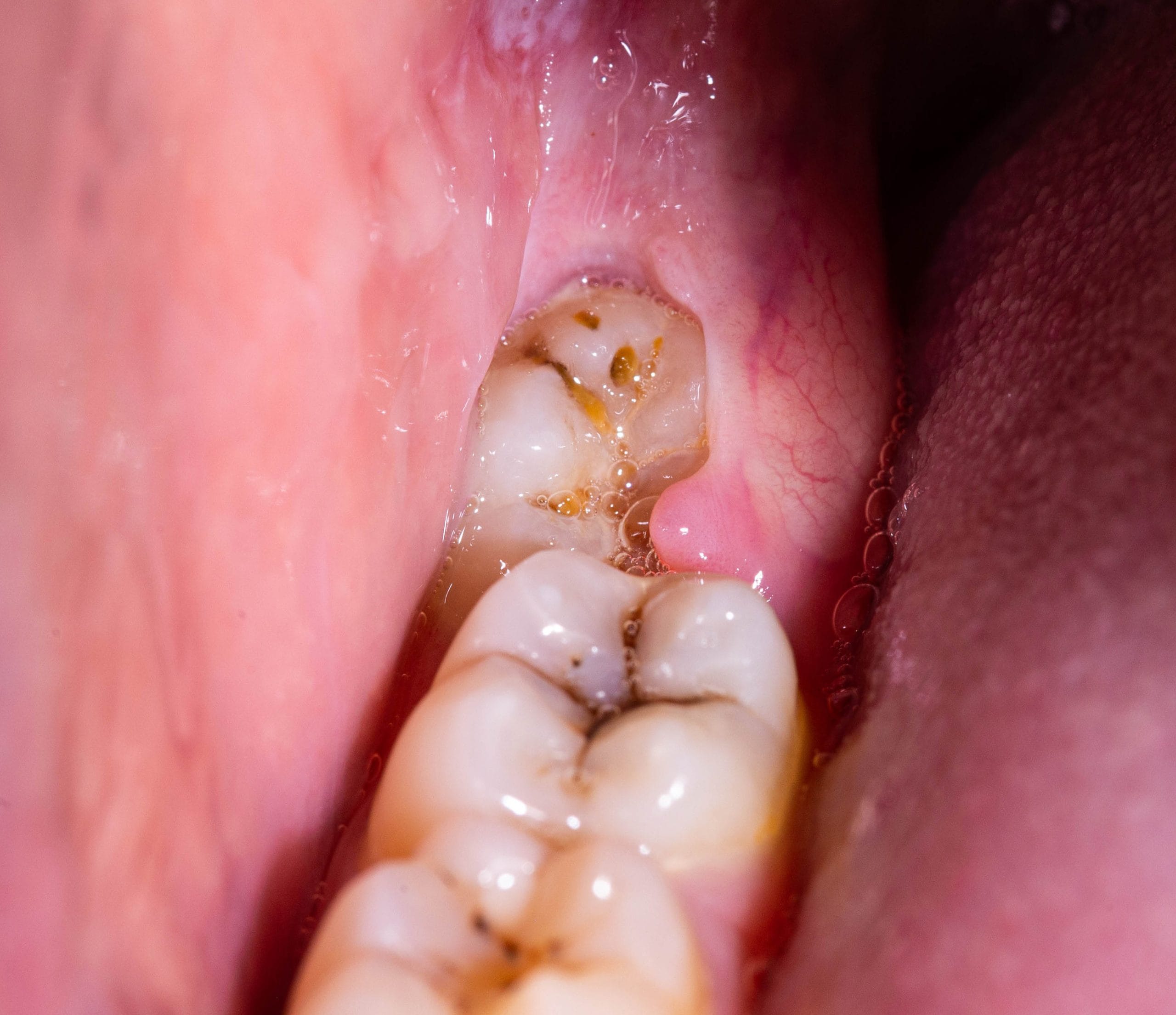
When a wisdom tooth partially comes through and is still partially covered by gum, food and bacteria can trap between the gum and the wisdom tooth which can be very difficult to clean. As a result, the overlying gum (known as the operculum) can become inflamed and the wisdom tooth can decay.
How to prevent wisdom tooth soreness
Its very important to maintain excellent oral hygiene by brushing twice a day, flossing and using a single tufted brush to clean between the wisdom tooth and gum overlying it. Its also very important to visit the hygienist at least twice a year and the dentist once a year.







