- Learn more
Devon dental clinic raised money for Macmillan
Latest News A Devon dental clinic raised money for Macmillan cancer care by hosting a trademark coffee morning. The event was held at the end of last month. It was...
Learn moreTooth Extraction Sedation
Tooth extraction sedation can take many different forms. For patients who want a mild sedative, inhalation sedation can deliver laughing gas through a face mask....- Learn more
Wisdom tooth of Edward VIII is predicted to sell for a small fortune
Latest News The wisdom tooth of Edward VIII is predicted to sell for a small fortune as it is destined for auction. Edward was abdicated from the throne in 1936,...
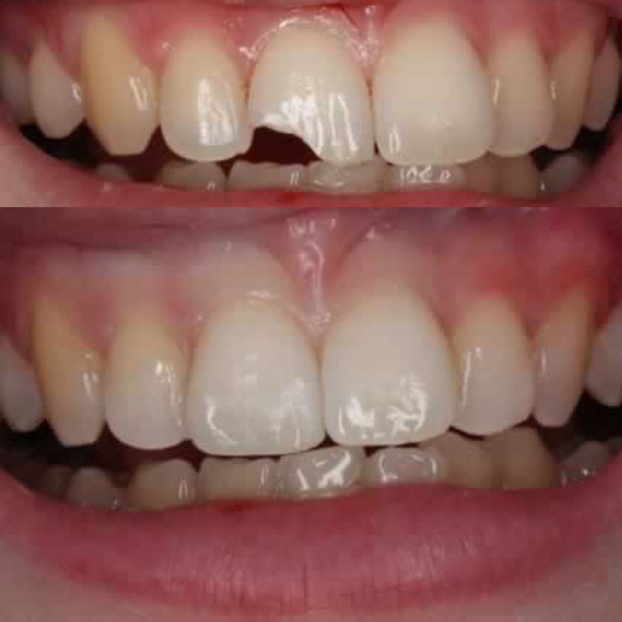
Learn moreRepairing Chipped Teeth
Repairing chipped teeth can be performed purely for cosmetic reasons or for structural reasons too. Some chips can be merely superficial and others may need...
Learn moreMemorial sponsored walk in honour of London dentist
Latest News A memorial sponsored walk in honour of London dentist Anoop Maini will take place this Sunday (15th September) in London’s Regent Park. Dr. Maini...
Learn moreThe Truth About Tooth Gems
The truth about tooth gems is rarely discussed. Mainly due to the fact that people like the aesthetic but are not aware of the downsides to the treatment. Evidence...
Learn moreEnamel repairing gel
Latest News The invention of enamel repairing gel may mean the need for fillings is eradicated in the future. Unfortunately, the enamel on the teeth cannot repair...
Learn moreTeeth Straightening Options For Adults
With so many orthodontic appliances available, finding the right teeth straightening options for adults can be difficult. Here at Pearl, we will discuss all options...- Learn more
Private Dental Clinic London
Opting for private dental care has many benefits to patients. Not only is it easier to get an appointment, but often private clinics also have state-of-the-art...
Call us today on 020 8547 9997
Whatever you need, our friendly team is looking forward to hearing from you.
Simply get in touch and we’ll be happy to help.
Find us on Google maps
Get directions






