Invisalign gallery
Dental implants gallery

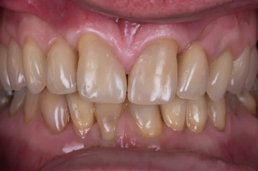
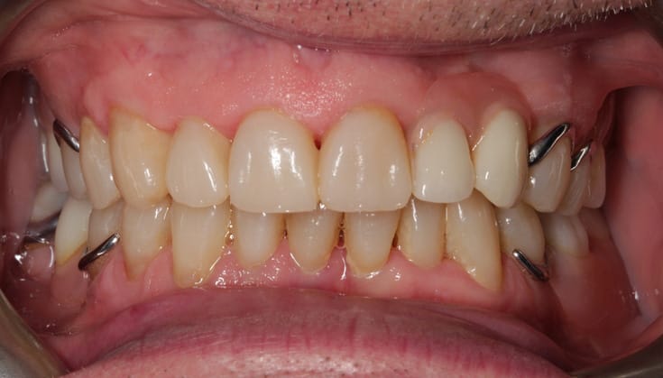
Replacement of missing teeth with dental implants and a partial overdenture.
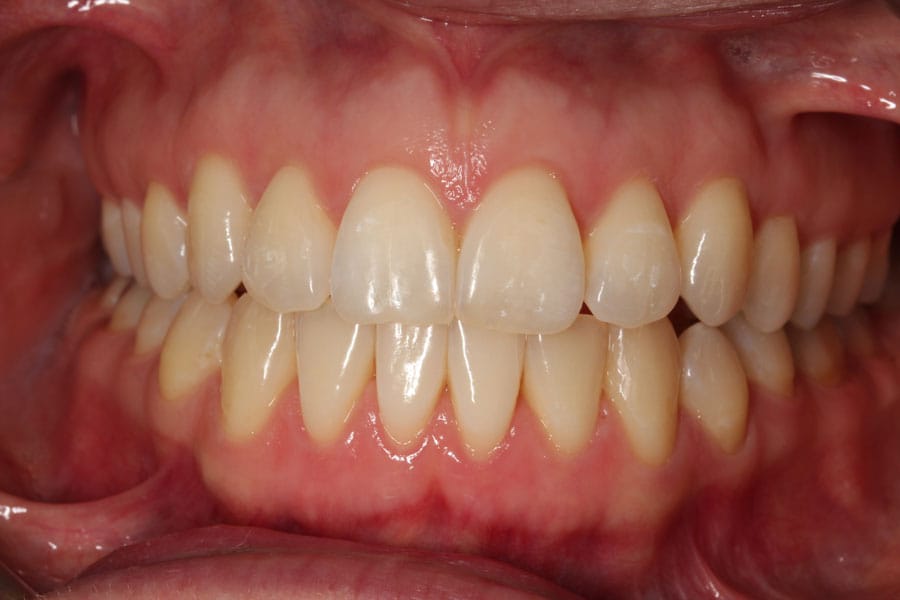
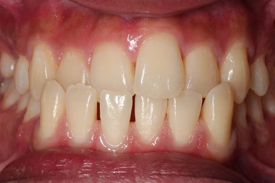
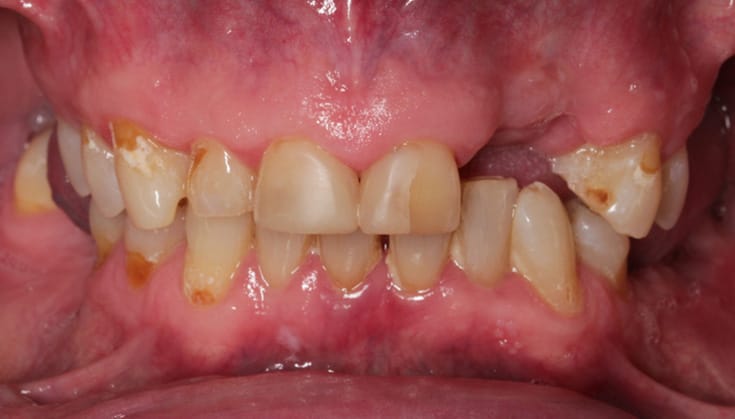
Tooth wear gallery

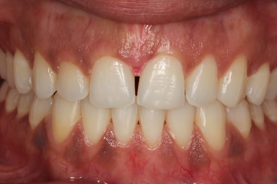
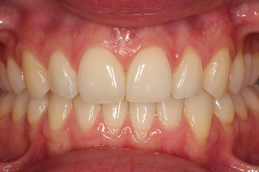
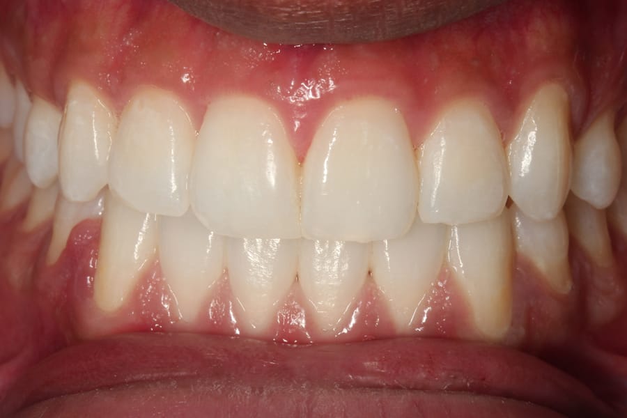
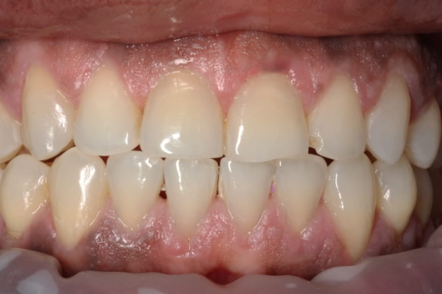
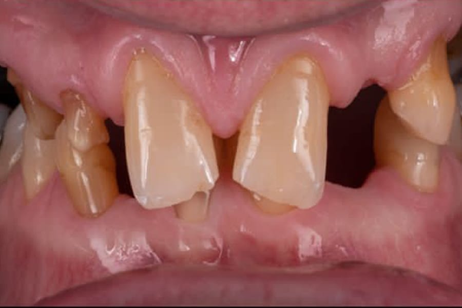
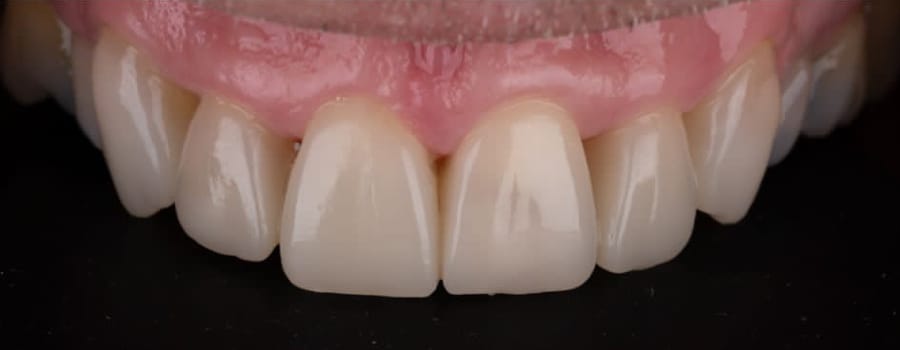
Management of toothwear with crowns and veneers.
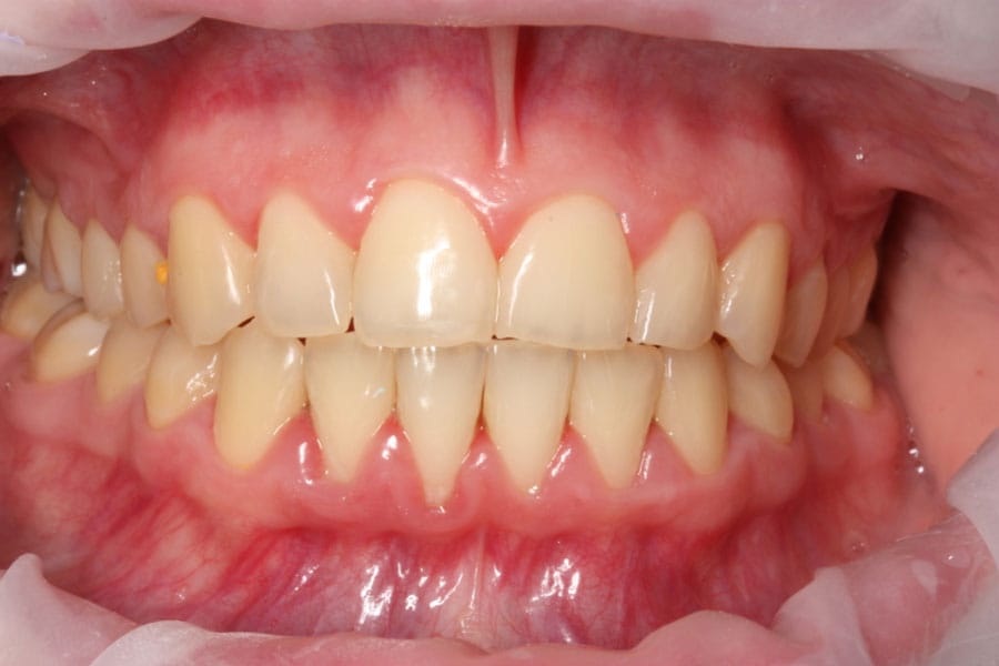
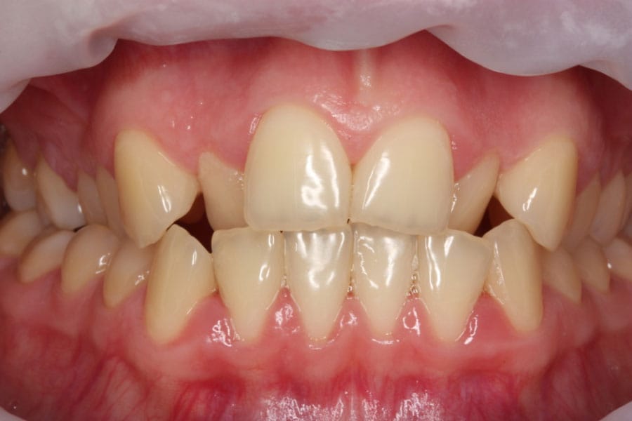
Composite veneers gallery

Replacement of failing composite restorations with composite veneers.


Denture gallery
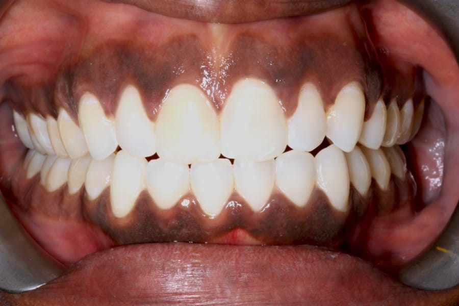
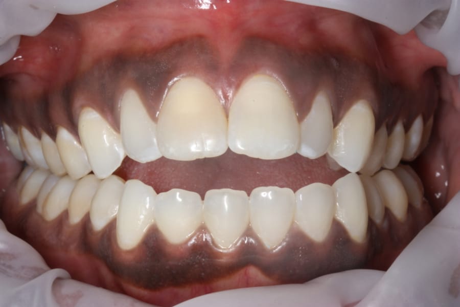
Teeth whitening gallery

Internal or inside / outside whitening
Microabrasion and ICON treatment gallery

White spot management with ICON resin infiltration
Gum grafting gallery

Gum grafting of the upper left 3 and upper right 3 teeth
Crowns gallery
Ceramic veneers gallery
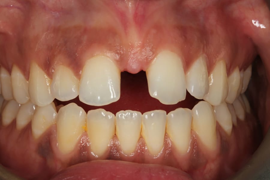
Dental bridges gallery
Full mouth rehabilitation gallery
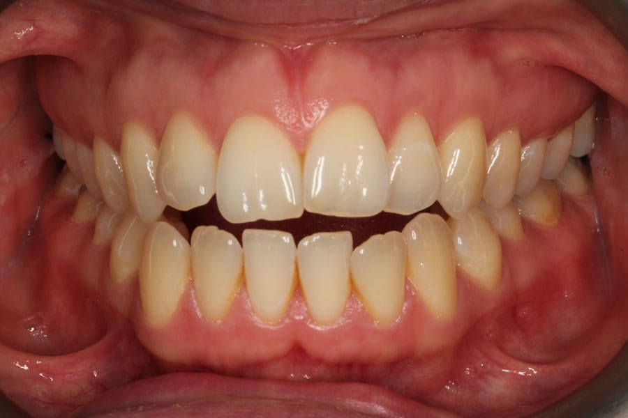
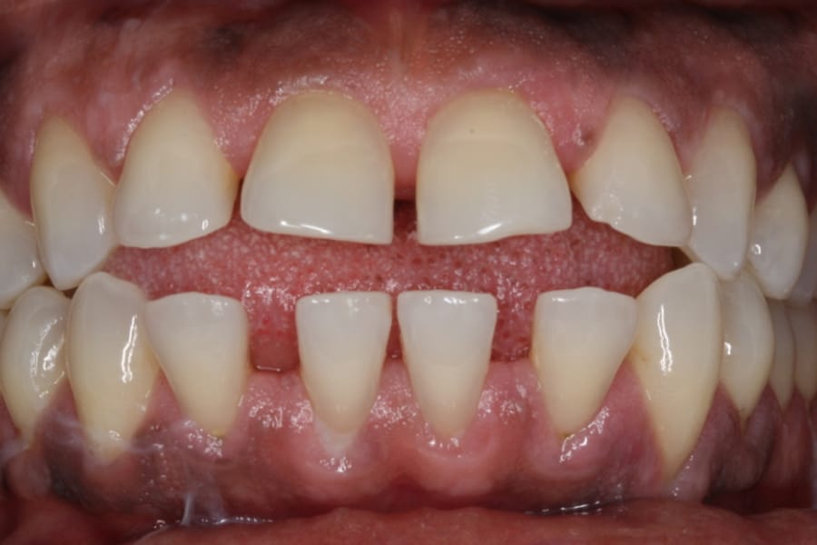
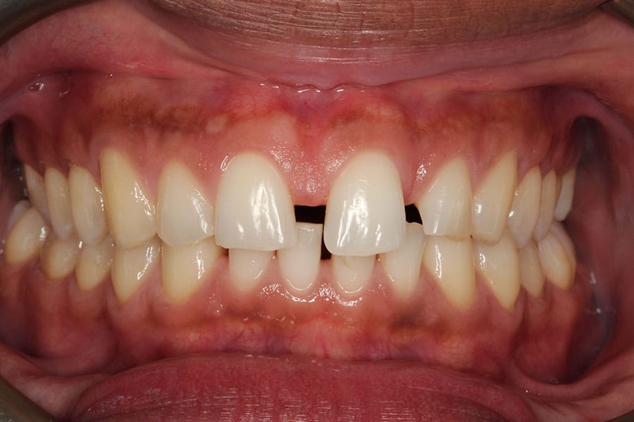
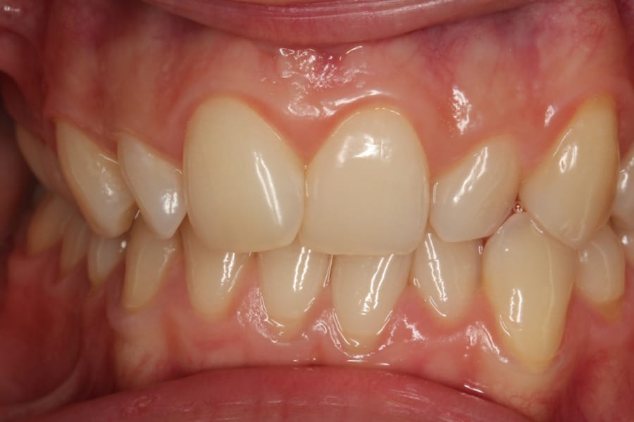
Dental trauma gallery
What do our patients say?
Call us today on 020 8547 9997
Whatever you need, our friendly team is looking forward to hearing from you.
Simply get in touch and we’ll be happy to help.
Find us on Google maps
Get directions























