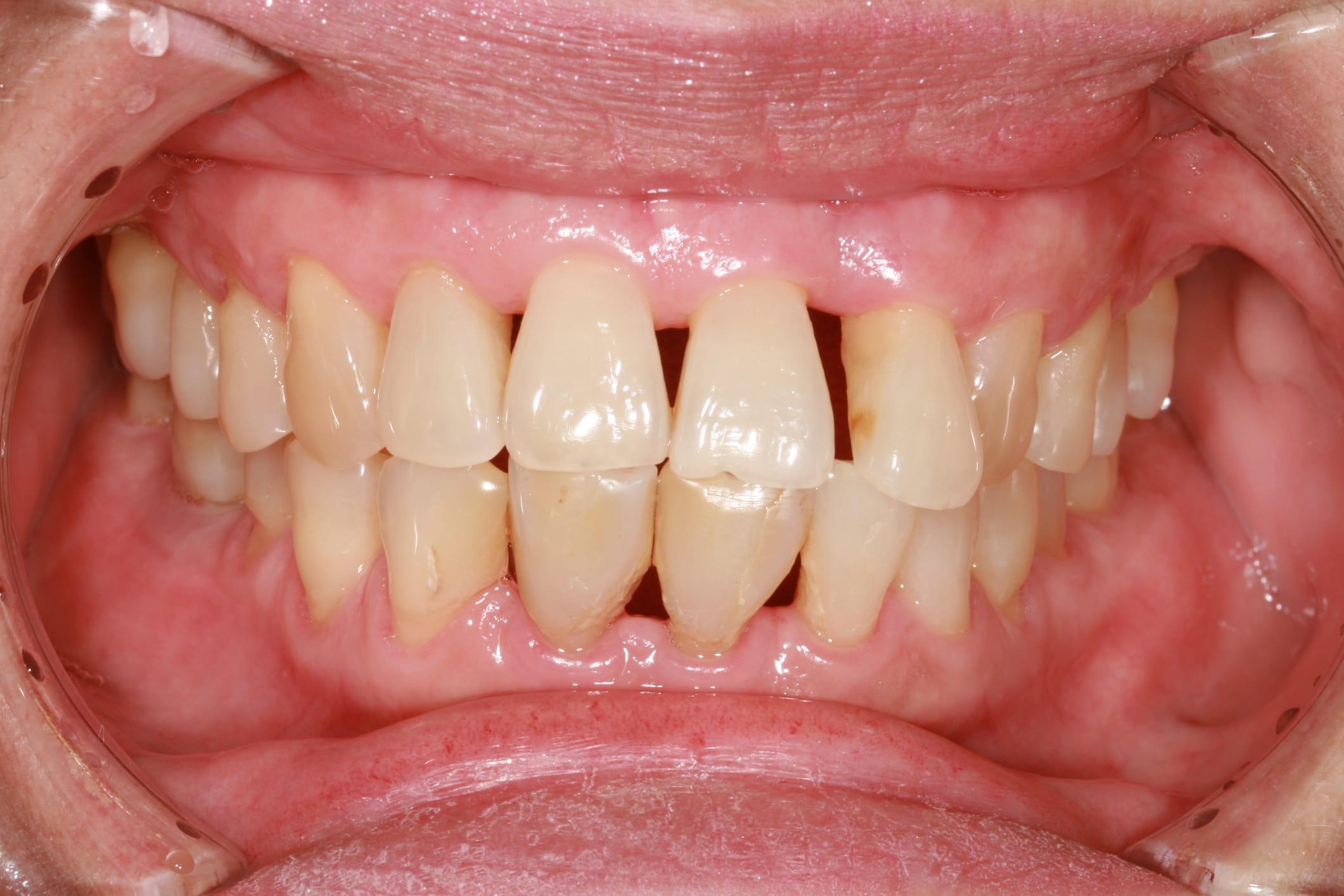
What are the symptoms of a gum infection?
- Inflamed gums
- Receding gums
- Gaps emerging between teeth
- Drifting teeth
- A bad taste in the mouth
- Swollen gums
- Soreness or tenderness in the mouth
- Loose teeth
- Changes in the bite
- Pus discharging from gums
What is gum disease?
There are two types of gum disease:
Gingivitis occurs when the gums become inflamed. With this stage, the damage is reversible with appropriate treatment. The treatment for gingivitis involves seeing a hygienist for regular appointments.
Periodontitis develops if gingivitis is left untreated for a period of time. With periodontitis, bone loss occurs, which is irreversible. The treatment for periodontitis involves seeing a specialist periodontist for deep teeth cleaning under local anaesthetic. If periodontitis is left to progress, it can cause the loss of the bone that anchors the teeth in the jaw, causing teeth to become loose and lead to eventual loss of teeth.
Need more information? Contact us today





