- Learn more
Dental Cover
Dental cover can help patients spread the cost of checkups and hygiene appointments via monthly payments. It can also offer many other perks and benefits that... - Learn more
Cost Of Implants
All dental implant procedures at the clinic are carried out by our registered Specialist Prosthodontist Dr. Sachin Shah. Dr. Shah has a wealth of experience fitting...
Learn moreBraces For Children
Braces for children on the NHS are extremely limited. The traditional fixed metal brace is often all that is offered and this treatment can also take many months or...
Learn moreA Guide To Teeth Veneers
Making the decision to get veneer treatment can be a big step. It can also feel very daunting as there are many types of veneer available.In this situation, you...
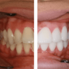
Learn moreZoom Teeth Whitening Reviews UK
Ever wondered whether Zoom Laser Teeth Whitening treatments are effective? Are you in two minds about whether to try it? If this is the case why not take a look at...
Learn moreDental Walk In
Our emergency dental walk in service can be accessed by any member of the general public. Whether you are a registered patient, have attended a...
Learn moreDentist Open On A Saturday
If you are looking for a dentist open on a Saturday then you have come to the right place. Weekend dentistry is available for new, existing, or one-off patients on...- Learn more
Teeth Straightening NHS
Teeth straightening via the NHS has the advantage that it is usually free to under 18’s and could be cheaper for adults wanting to achieve straighter teeth.... - Learn more
Zoom Teeth Whitening Offers
Zoom is extremely popular with dental professionals and patients alike. Not only because it is a safe procedure but also because it produces noticeable results....
Call us today on 020 8547 9997
Whatever you need, our friendly team is looking forward to hearing from you.
Simply get in touch and we’ll be happy to help.
Find us on Google maps
Get directions





